Aisling Byrne discusses the decisions as to why patients might choose metal over aesthetic brackets, and presents a case study that had its share of challenges.
Over the past year and a half, I have seen a significant increase in the number of child patients I see on an independent basis. This is largely as a result of the very long waiting lists that have now developed for NHS orthodontic treatment, coupled with families having saved some money over the lockdowns that they are choosing to use for orthodontic treatment for their children.
Metal brackets
The majority of my teenage patients prefer metal brackets over ceramic. Some may question why they’d choose metal brackets when money isn’t an issue. Seemingly, they enjoy being able to choose the ‘colours’ on them, and indeed, many consider them a fashion accessory!
Metal brackets are often less bulky than their ceramic counterparts, and therefore more comfortable. Plus, there is no risk of wear to opposing teeth; a big problem with ceramics.
Lastly, because they are less prone to breakages, metal brackets are ideally suited to teenagers.
In private practice, interestingly, approximately half of my adult fixed appliance patients choose metal brackets over ceramic brackets.
The reasons I found adults choose metal over ceramic are also varied. Many are worried about staining and would rather have a silver appearance (of metal) than a yellow one from stained elastics on ceramic braces. Also, many are unconcerned about the metal appearance. I often receive comments such as: ‘People will notice my brace regardless so I’d rather just have the metal’.
Add a lower price tag, and shorter treatment duration from faster tooth movement (especially with extraction cases), and metal seems a no-brainer option.
As a clinician, I prefer metal brackets for the following reasons:
- More accurate to position
- Faster tooth movement
- No fracturing of brackets
- No wear of opposing teeth (so less need to use bite blocks which patients dislike)
- Easier to debond and remove cement.
Case presentation
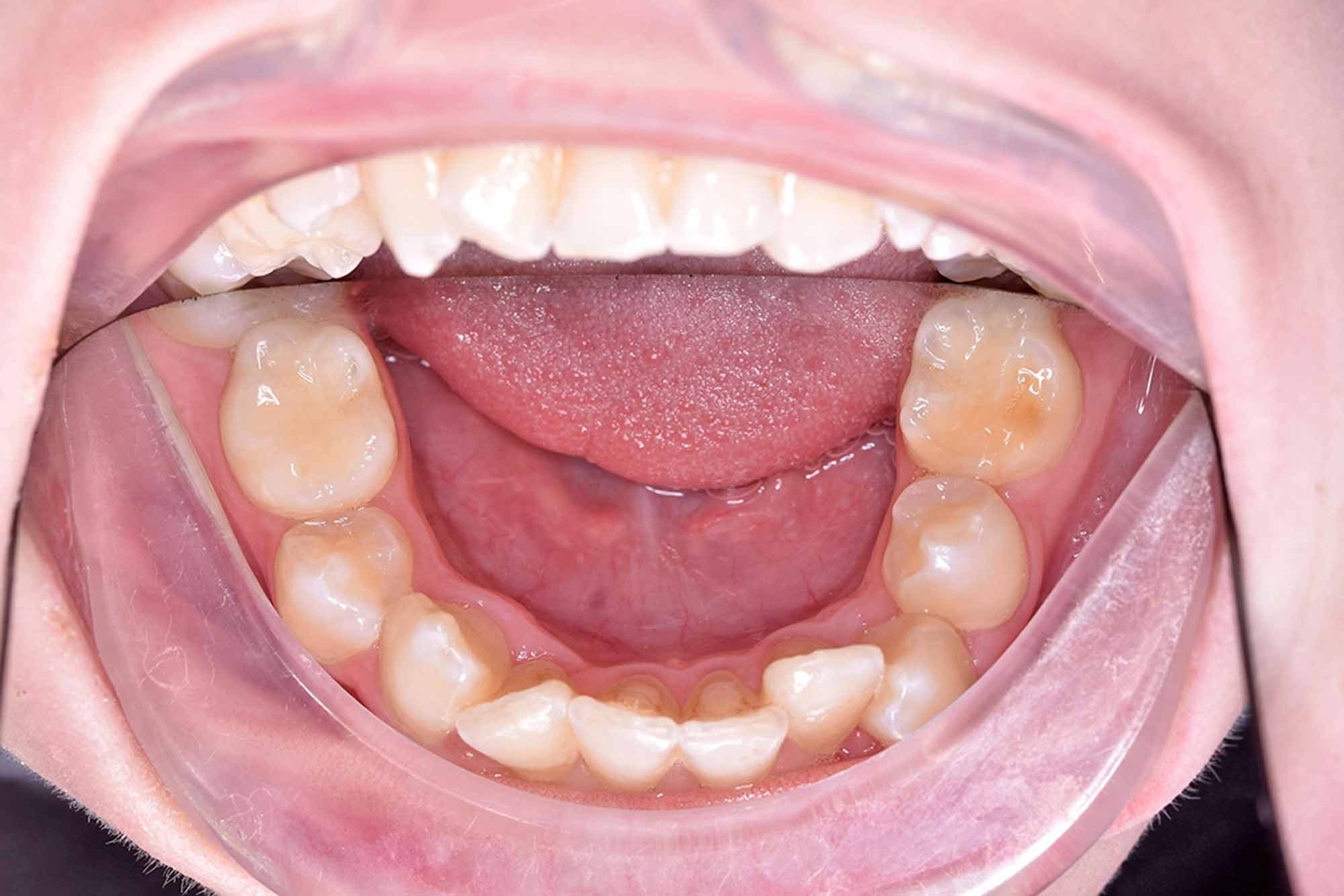
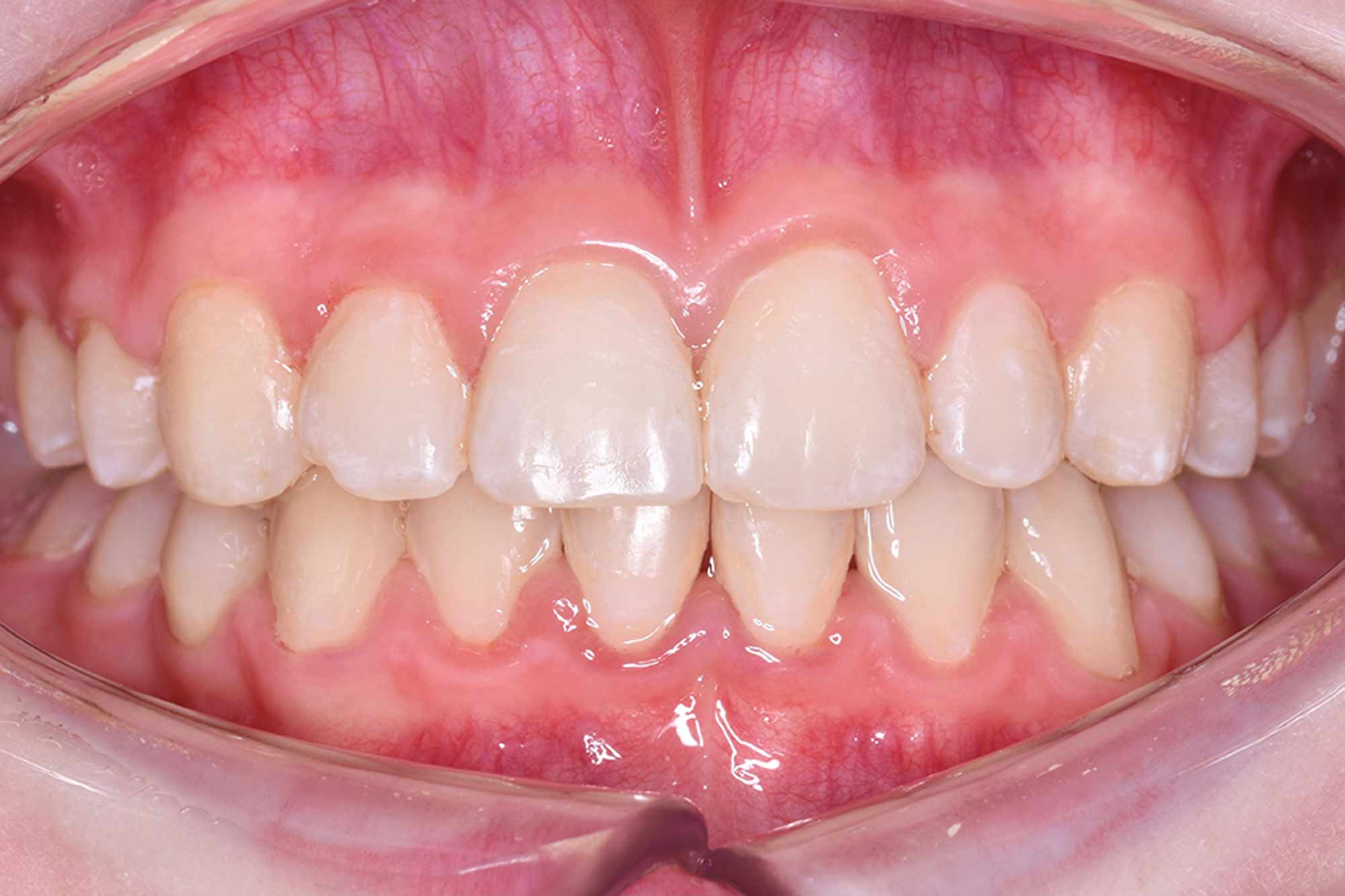
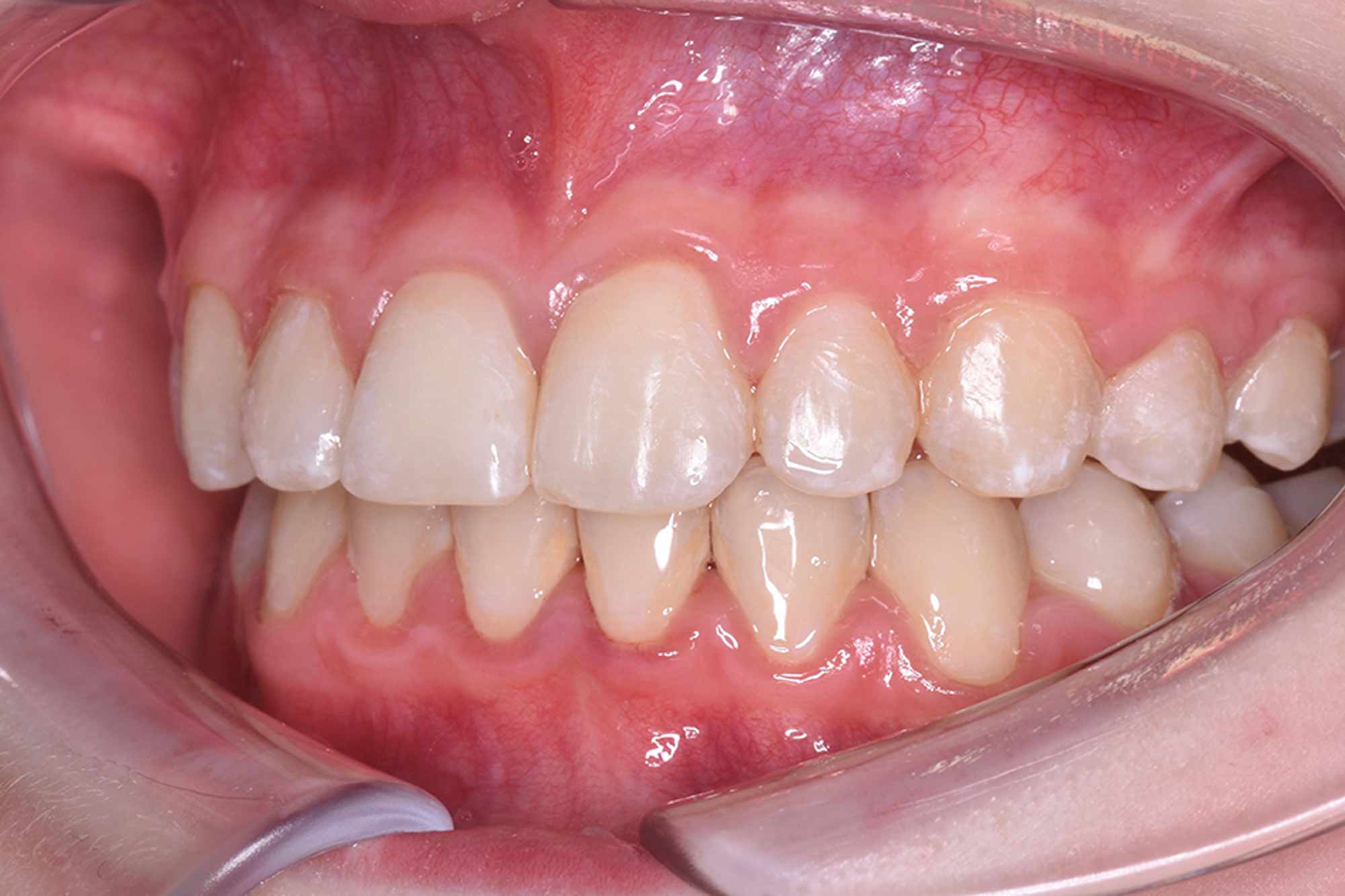
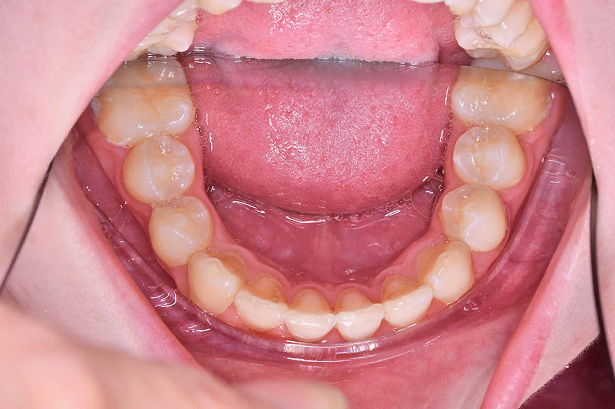
My son, an 11-year-old male, presented with a class II, division 1 incisor relationship with 5mm overjet on a skeletal I base. This was complicated by moderate upper and lower arch crowding, upper centreline shift to the left and increased overbite.
I carried out the treatment on a non-extraction basis using Evolve brackets MBT prescription and DB Orthodontics archwires.
I used class II elastics to reduce the overjet and correct the centrelines. I used Ixion light wire pliers for placement of finishing bends.
The treatment took 18 months and retention was with upper and lower vacuum formed retainers, to be worn on a night only basis.
This case presented a number of challenges, namely:
- Treating one’s own child was more difficult than I had anticipated. He seemed to be more complacent with instructions given, resulting in an increased number of breakages and trying to eat forbidden food and drink
- Conflicts generated: more frequent breakages; having to listen to complaints about monitoring the diet of my son; more breakages than expected
- Listening to complaints about bite blocks, the taste of etch, and having to avoid fizzy drinks.
In terms of highlights, I found it easier to supervise treatment and monitor compliance at home. In addition, there was great compliance with elastic wear, which I was surprised about.
Product selection
For this case, I used Colour Boutique modules, which I love because they have such a wide range of vibrant colours to choose from and they keep their colour well, remaining bright until the next wire change.
The patient loved choosing a different colour at each visit. I let him browse the catalogue and help me decide which colours to order.
I have been using Evolve brackets and tubes for more than eight years. I find them easy to place and ligate, as well as straightforward to debond. They are smooth, low profile and well tolerated by patients. In fact, the patient in this case didn’t even need to use any wax and adapted to his fixed appliance extremely well.
I also love the canine hooks for attaching elastics and other auxiliaries.
Products used
- Brackets and tubes – Evolve
- Light wire pliers – Ixion
- Archwires – DB Orthodontics
- Ligatures – Colour Boutique.
Read more about DB Orthodontics products including Evolve brackets here www.yumpu.com/en/document/read/65729148/aesthetic-orthodontics-2022
This article first appeared in Clinical Dentistry magazine. You can sign up to receive Clinical Dentistry magazine here.













