Ahmad Nounu presents a ‘very special’ align, bleach and bond case study that exceeded the patient’s expectations.
The cosmetic smile makeover industry has always been huge, but the boom is currently at its highest. What’s more, the change in patients’ demand for alignment has meant that it’s at the most conservative stage it’s ever been.
It is especially interesting to see the number of patients who have sought minimally invasive treatments, including alignment, over the past 18 months.
This trend highlights a distinct change in attitude towards preserving their natural teeth and aligning. Rather than faster but more draconian transformations.
It is gratifying that the messaging about align, bleach and bond (ABB) is reaching patients. It’s being reflected in their requests.
As a result of this boom, we have treated hundreds of alignment cases since the first lockdown especially, with the Invisalign system as my go-to alignment tool. However, the case I relate here was very special.
Case study
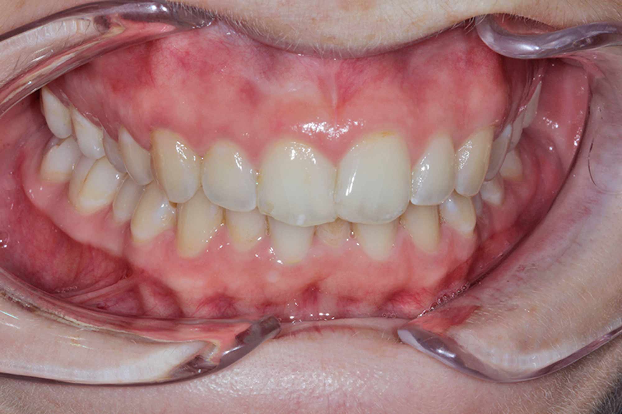
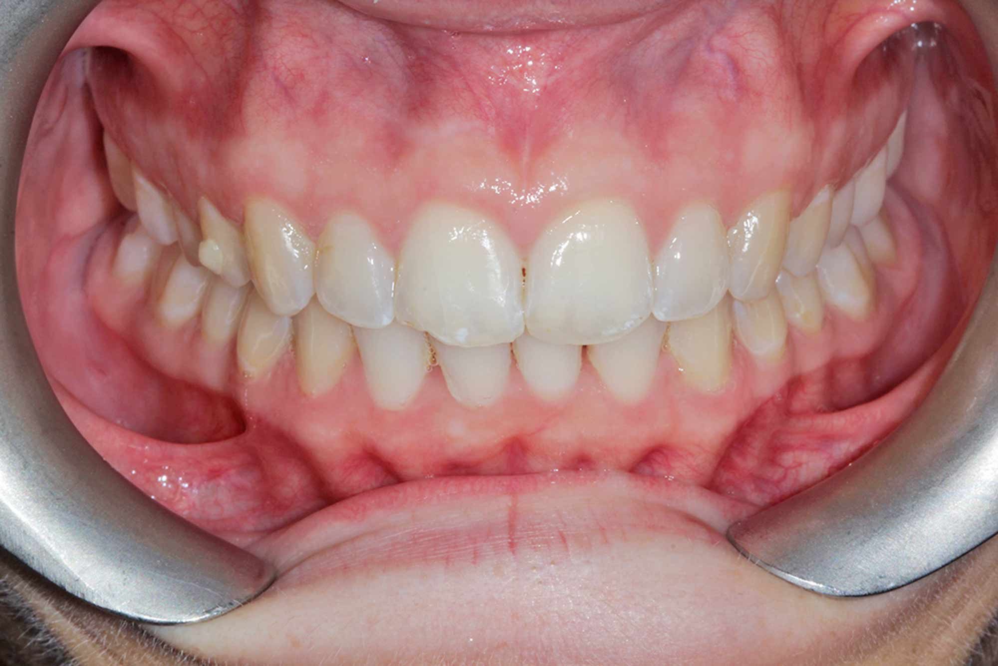
This young female patient presented with misalignment. She wanted a solution that would not only straighten her teeth but also give her the confidence in her smile she’d always wanted.
She was really into her fitness and lifestyle, and felt her current smile did not match her targets or ambitions.
She was looking for a discreet option that she could control and would fit directly into her lifestyle without the need to change it too much.
This made her an ideal Invisalign system candidate.
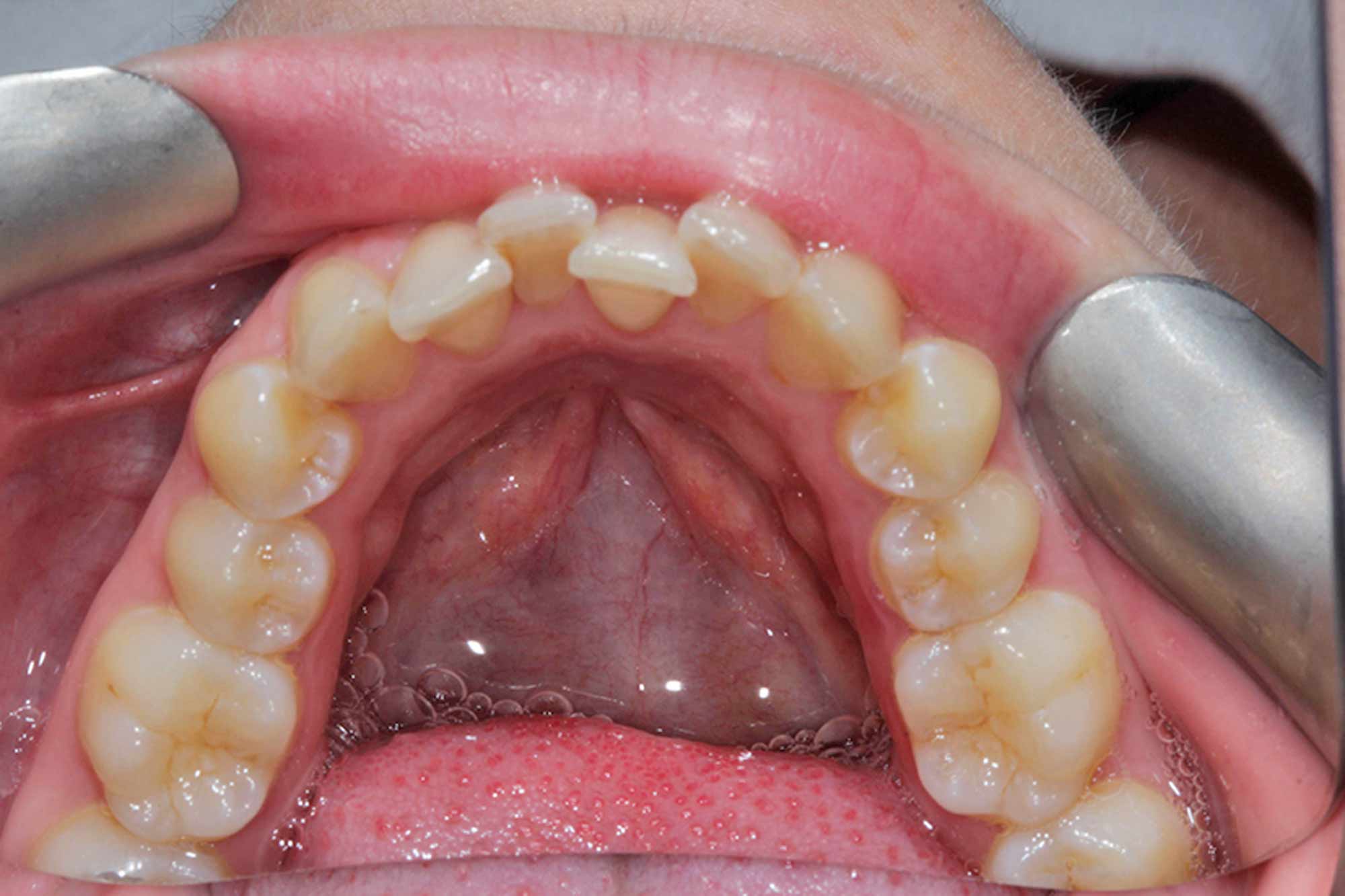
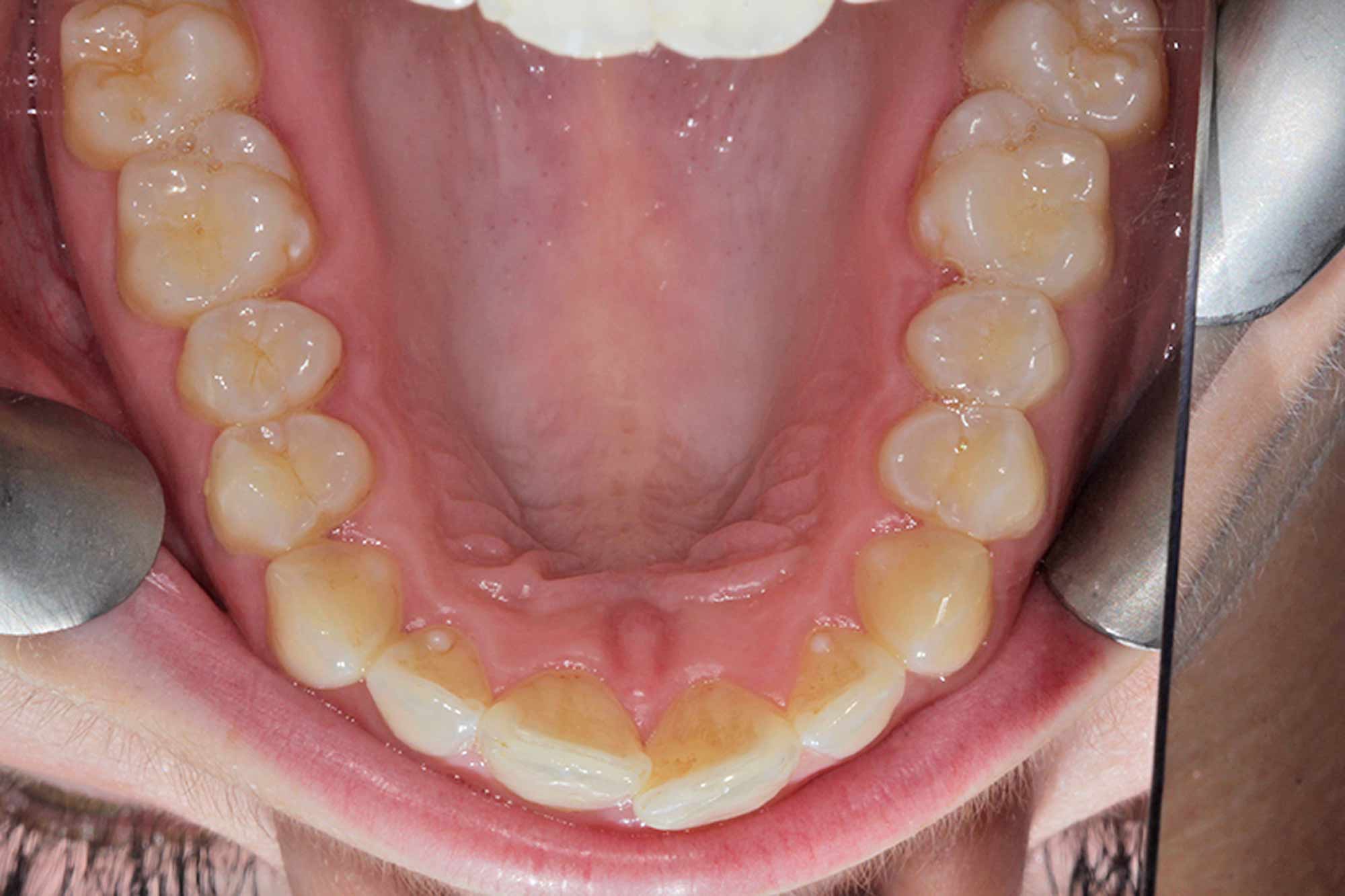
We started off with her aesthetic smile design, as we always do. She had beautiful smile proportions and the potential for perfection was certainly there as we concentrated on matching her gingival margins, widening her buccal corridors and accepting that incisal tooth wear had certainly taken place with some of the edges.
It’s these little touches that allow you to plan to match your patients’ expectations; whether to align and match the incisal edges to the new smile and accept the discrepancies of the gingival margins, or look for perfection if your patient wants to go all the way.
Align
The Invisalign Clincheck software gave us a lovely representation of the end result. It also allowed us to share, realistically, what other treatments would be needed at the end of the alignment phase so the patient was fully aware.
In my opinion, it is one of the best pieces of smile design software currently on the market for orthodontics, without a shadow of a doubt!
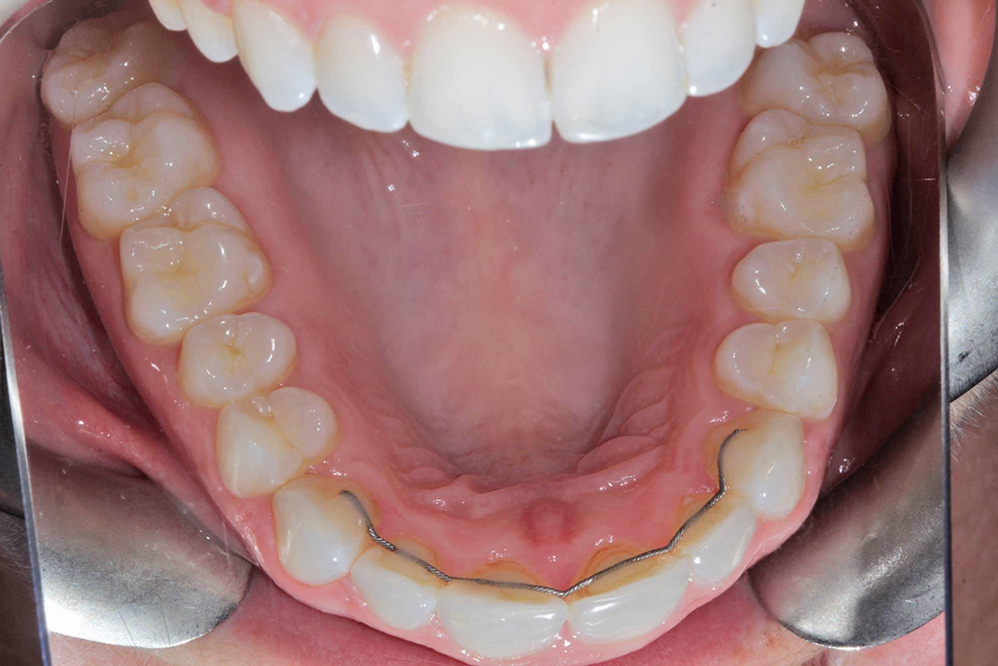
In this case, 14 aligners were needed to achieve the outcome we were looking for. This was followed by two short stages of refinements, as we certainly aimed for perfection in the end result and strived to match the original Clincheck prediction.
She was the ideal patient for this treatment, as we were both on the same page throughout. She was fully aware the final outcome would be more than nine months away before we embarked on her treatment.
Bleach
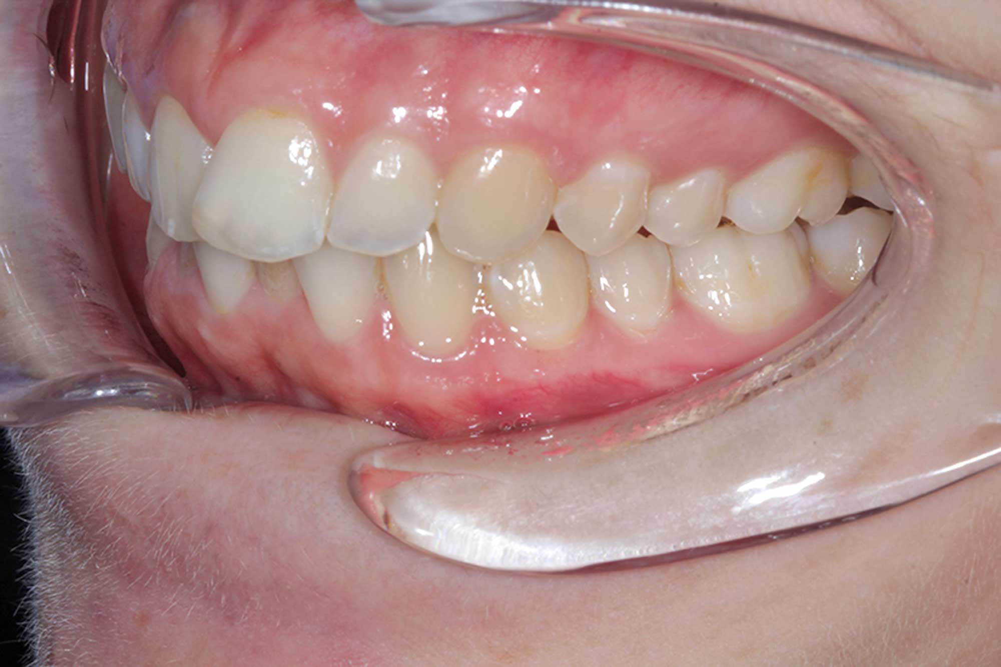
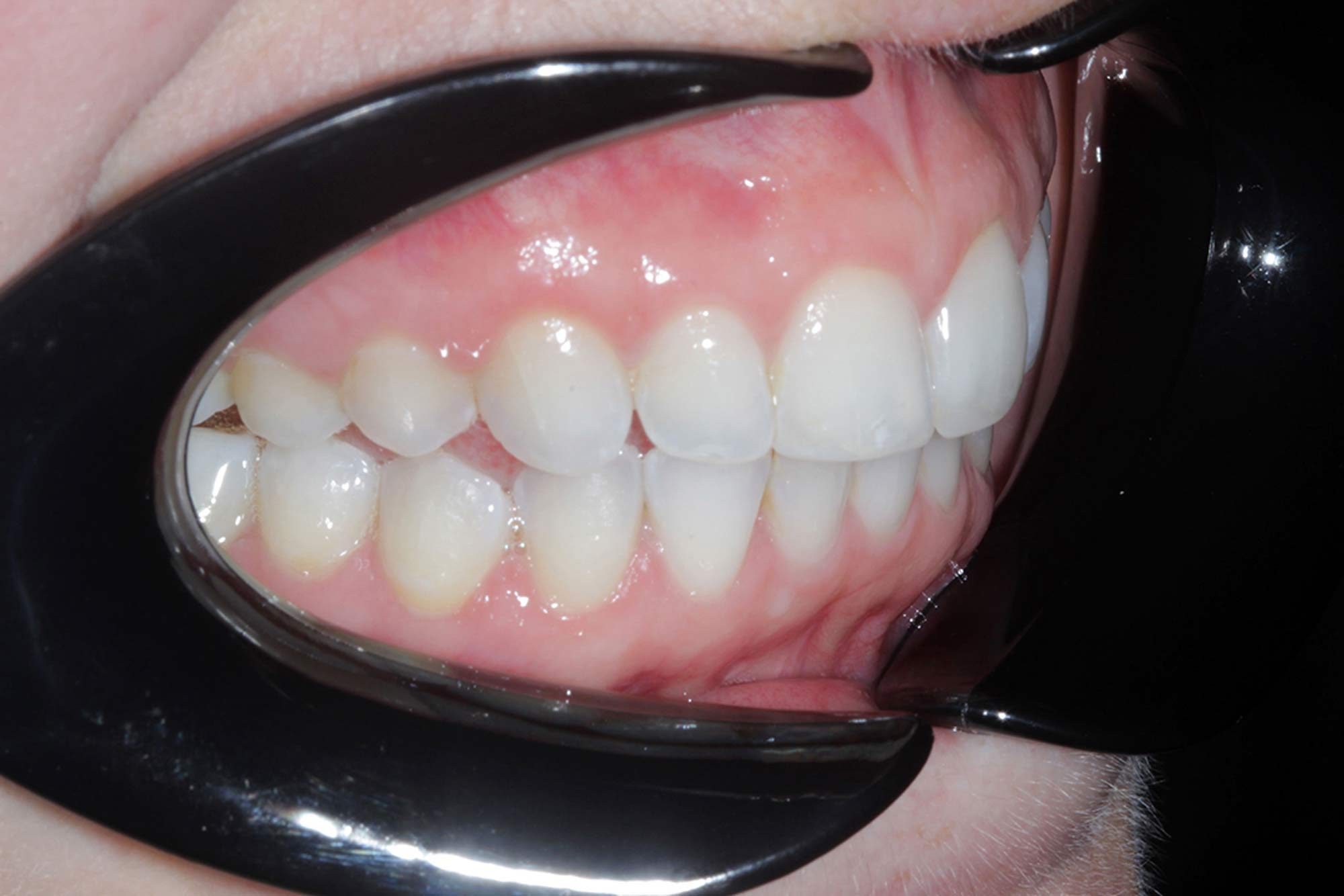
Once we achieved her desired alignment result, the discussion naturally shifted to tooth whitening, and the colour and shade the patient wanted to aim for.
We ultimately achieved a BL1 result, which well exceeded the patient’s expectation.
I achieved this with six weeks of night time whitening, which is fast becoming the norm for those desiring much whiter finishes.
Bond
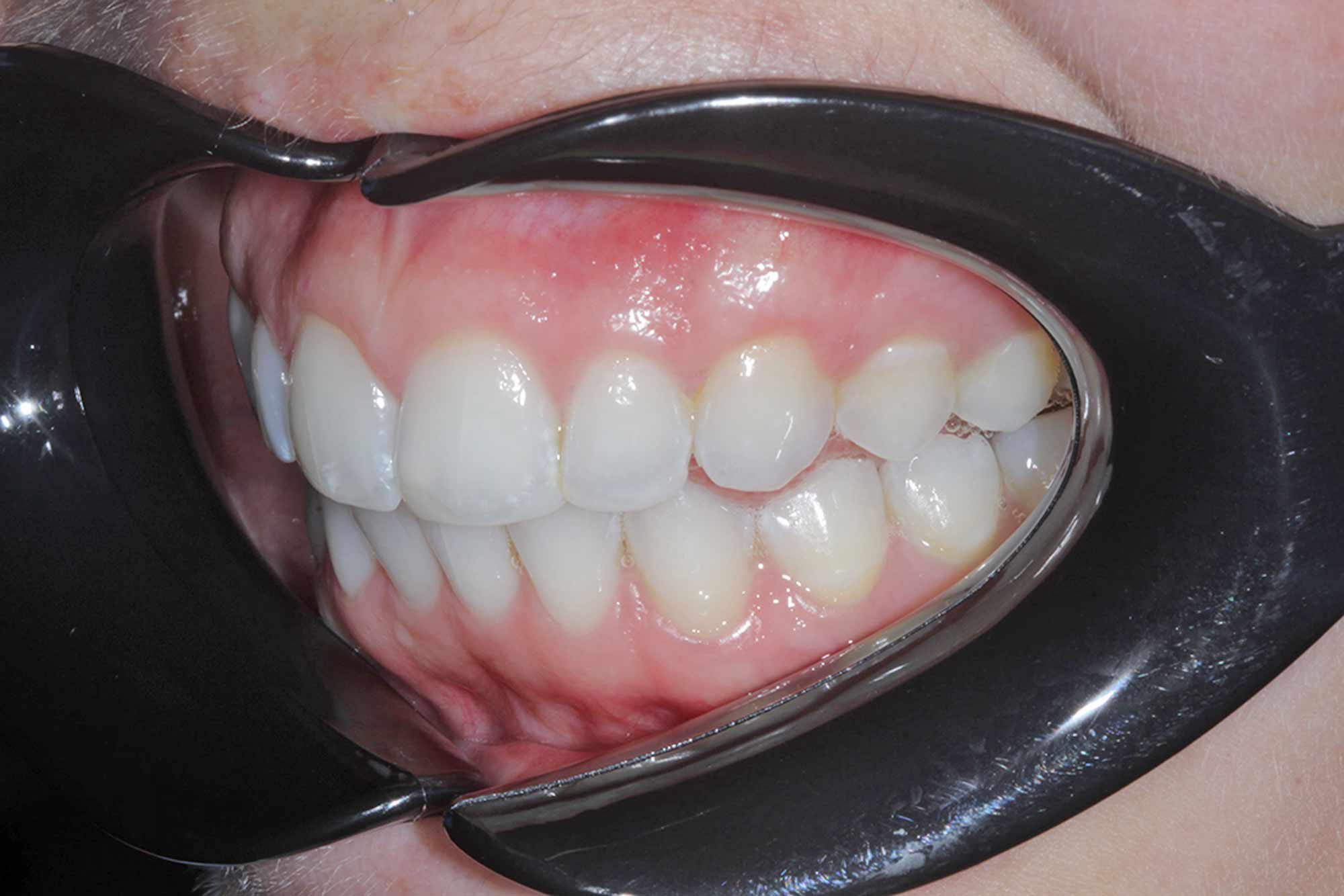
Once the tooth positioning and colour were both at an exemplary stage, it was time to frame the result with composite direct edge bonding. This has been made much easier due to all the other factors. Our restorative material of choice for this case was Venus Pearl shade BL. This matched the patient’s newly whitened teeth perfectly.
The other factors had been carried out to such a high level, that the bonding stage was very straightforward and fairly easy to conduct. Using the right tools to blend the margins in and polish them to give this case even more longevity in the long run. The key to these cases is anatomy. Match the anatomy and proportions, and it will blend beautifully.
Outcome
The final result was another delighted patient and another beautiful smile completed following all the smile design protocols. This can incorporate any system needed as long as your planning process is sound and predictable each time.
This article first appeared in Clinical Dentistry magazine. For more articles like this, you can sign up here.














