
Manrina Rhode presents a case in which she tackles the root cause of tooth wear and uses composite edge-bonding to restore function and aesthetics.
Bruxism and consuming acidic foods and beverages are common causes of tooth wear. Composite resin is a versatile and predictable material for restoring the function and aesthetics of damaged or worn teeth.
This case highlights that when treating wear, it is important not only to restore missing tooth structure but also to identify and address the root cause. A detailed diagnosis will inform treatment decisions and enable patients to understand the reasons for their tooth wear and to make the necessary changes to their lifestyle.
Taking preventive measures can help to protect and extend the lifespan of composite restorations, preserve their aesthetic appearance and reduce the risk of future damage.
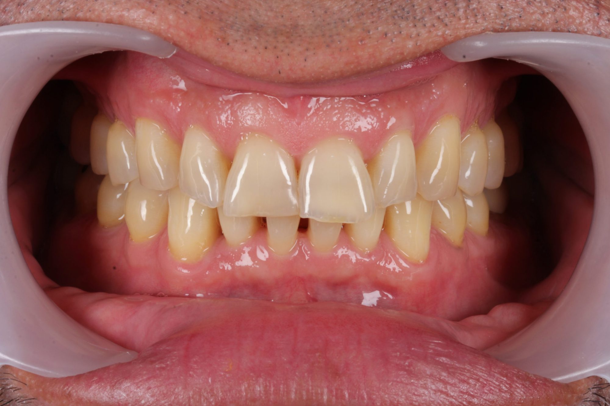
My 54-year-old cousin who lives in Canada came to see me at DRMR during a trip to the UK. He was unhappy with the appearance of his teeth (Figure 1) due to heavy surface loss on the lower arch and wear on the upper teeth (Figures 2 and 3).
His dentition was very worn and looked visibly shorter (Figures 4 and 5). Abfraction was noted on the upper premolars and first molar (Figure 6). He wore a mouth guard to protect his teeth at night and had undergone gum grafts in the past for aesthetic reasons.
Patient examination
A full examination was carried out and photographs taken. An Itero 3D intraoral scan was taken to report on findings relating to the teeth and gums. The orthodontic and functional assessment revealed group function on both sides.


Other findings were a class I incisor relationship, molar class III relationship on the right and class II on the left (Figures 7 and 8).
The patient had a reduced overbite and normal overjet. His lip seal was competent. The clinical examination revealed no temporomandibular joint (TMJ) disorder complaints or symptoms.
Risk factors
We had discussed his tooth wear on a previous occasion and how acid reflux could be a contributing factor. My cousin frequently works out in the gym and often consumes sports drinks which contain a high acid content. We also assessed other sources of acid in his diet, such as having lemon in his water.
It was explained that an acidic diet would contribute to the softening and weakening of the tooth enamel. These factors, combined with a heavy grinding habit at night and clenching his teeth when lifting weights at the gym, could exacerbate and accelerate the wear.
The patient had visited several dentists in Canada. One practice had offered to restore all his teeth with porcelain veneers. Another dentist had suggested orthodontic treatment with clear aligners to intrude his teeth to make space for bonding.
He felt that these treatments were either too invasive, complex or time consuming.
Composite restoration
Composite restoration was the most economical, minimally invasive and straightforward option available to him. The treatment would not involve the removal of any natural tooth tissue or affect the vitality of his teeth. I explained that edge-bonding could be used to restore his upper and lower dentition with the UL3-UR3 built up first.
We discussed how bonding may also help to break his habit of bruxism, as it would not feel comfortable to grind on the upper front teeth once composite had been placed.
He was reminded that he had already worn away the natural tooth structure, which is considerably stronger than composite resin, and the restorations may chip if he continued to grind and clench his teeth. We were ready for this possibility. If necessary, we could recontour his teeth and reshape them according to his bite.
Following treatment to the upper teeth, I advised that composite bonding be placed on the lower arch to cover the wear facets. This would deliver aesthetic and clinical benefits for the patient.
We discussed modifying his diet to avoid acidic food and drink. I also recommended a guard to wear during the day to protect the teeth from his clenching habit when exercising.
The advantages and disadvantages of bonding were fully explained to the patient. Fortunately, my cousin came to see me for treatment early on during his trip, so I would be able to monitor the restorations over the four weeks he was staying in the UK.

Preparation and shade selection
The patient opted to progress with composite bonding, and the UL3-UR3 were restored first using Kulzer Venus Pearl (Figure 9). On the day of the treatment, the use of a latex-free lip and cheek retractor helped improve moisture control and provide a greater visual field.
A fine diamond bur was used to roughen the surface of the teeth to remove the smear layer. The teeth were etched with 35% phosphoric acid etch gel and bonded with a two-component, light-cured adhesive, using a total-etch technique, in accordance with the manufacturer’s instructions.
The colour of his teeth was recorded as D3 shade, which is quite dark. The patient had never had them whitened due to his tooth wear. A2 shade composite was selected, which provided the opportunity to use a shade slightly lighter than his natural colour, with a view to whitening his teeth in the future.

Aesthetic, durable restoration
Venus Pearl A2 shade was placed incrementally using a freehand technique, building up tooth by tooth, starting from the upper centrals and working back (Figure 10). The patient’s central incisors were 9.5mm long. According to smile design principles an acceptable starting point is 11mm, so 1.5mm to 2mm would need to be added.
The aesthetic properties of Venus Pearl worked well as a single shade. The material is hard wearing, results in a beautiful finish and looks just like enamel. I have used Venus composites for more than 16 years and they have never let me down – the material is easy to handle and works well in my hands.


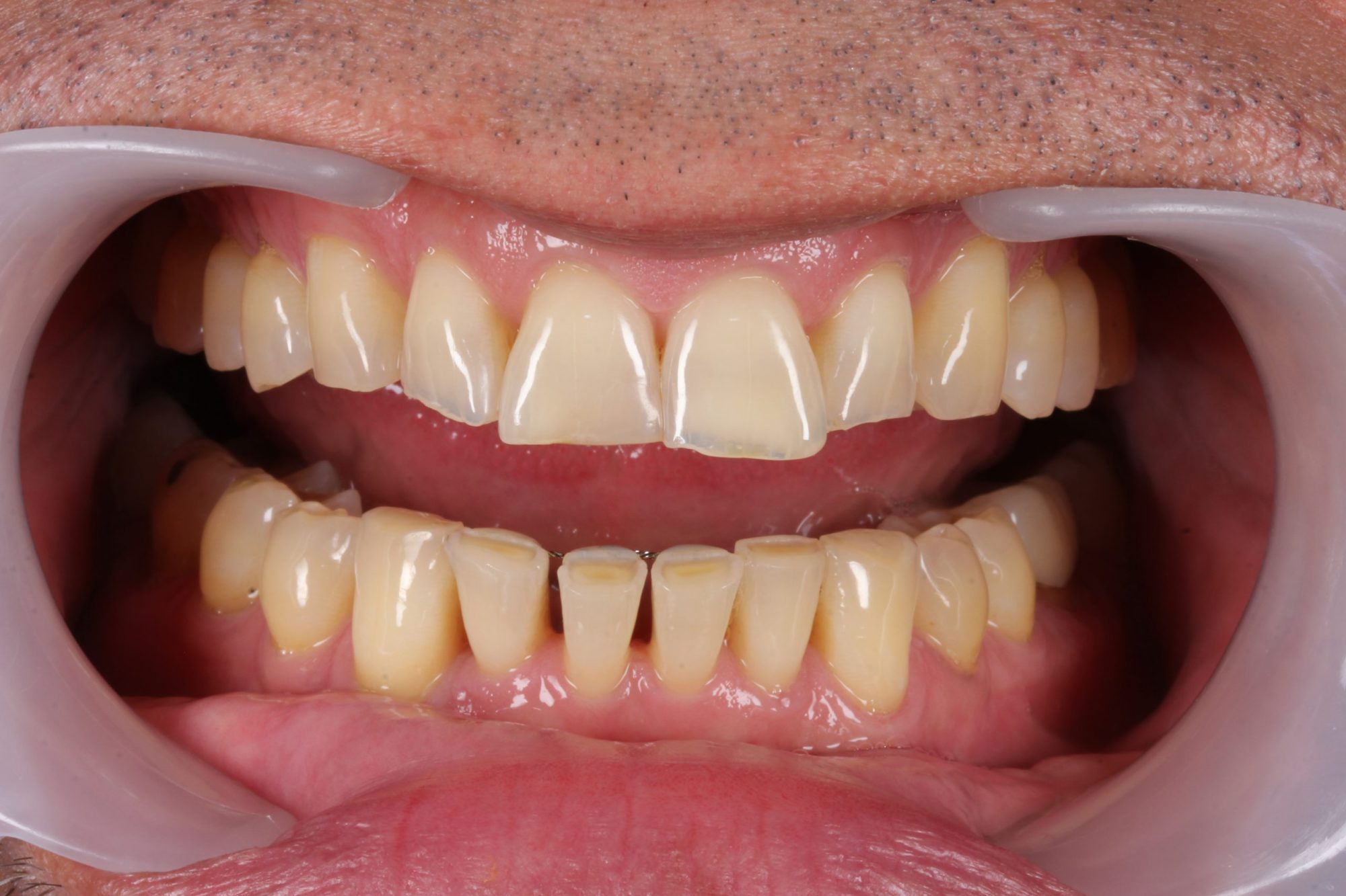
An Itero intraoral scan was taken for fabrication of an upper night guard. A week later, once the upper restorations were comfortable and settled, LL3-LR3 were restored with the A2 shade using the same freehand technique (Figures 11 and 12).
‘Slightly more unpredictable’
I explained that the lower composite bonding may be slightly more unpredictable. We would be increasing the vertical dimension by building up his lower teeth and there was limited space for these restorations in his bite.
The restored upper teeth would touch the composite added to his lower dentition. The posterior teeth would then over erupt and the anteriors intrude according to Dahl principles. His occlusion would adjust over the next eight weeks.

Finally, the teeth were polished with diamond paste using Sof-Lex discs and a yellow composite bur (Figure 13). The contacts were flossed, and the bite was checked and adjusted where necessary.
The patient was instructed to wear a new soft upper night guard. He was asked to stop using his old hard lower guard which may damage the restorations and prevent the bite from restabilising. A scan was then taken for a replacement.
Natural-looking, functional smile
The treatment of tooth wear requires a holistic approach. A patient with extensive surface loss has already damaged their natural teeth and should be reminded that composite resin is not as strong as enamel. The dentist and the patient must work together to identify the causes of tooth wear and implement the necessary changes to optimise the success of composite restorations.

In this case, we achieved a natural result using a beautiful, hard-wearing material. I was incredibly pleased with the minimally invasive, functional and aesthetic outcome (Figure 14).
The patient’s bruxism was resolved as soon as his upper teeth were bonded. This is because they felt awkward and uncomfortable to grind on. His posterior teeth are also back in occlusion. Over four months after returning to Canada, the patient has reported no chipping, pain or discomfort.

My cousin was delighted with his smile transformation and gave the practice a five-star review (Figure 15). He commented that his teeth have not looked as good since he was in his twenties.
I am also pleased to report that he has made changes to his diet to protect his new smile. He is also religiously wearing his mouth guards at night and when lifting weights.
Further details about Dr Rhode’s smile makeover course can be obtained by visiting the website www.designingsmiles.co.uk or emailing info@designingsmiles.co.uk.





