Digitally planned, immediate upper full-arch implant-supported restoration: case study

Usman Riaz reports on an immediate implant plan for a new dental referral patient with failing heavily restored dentition

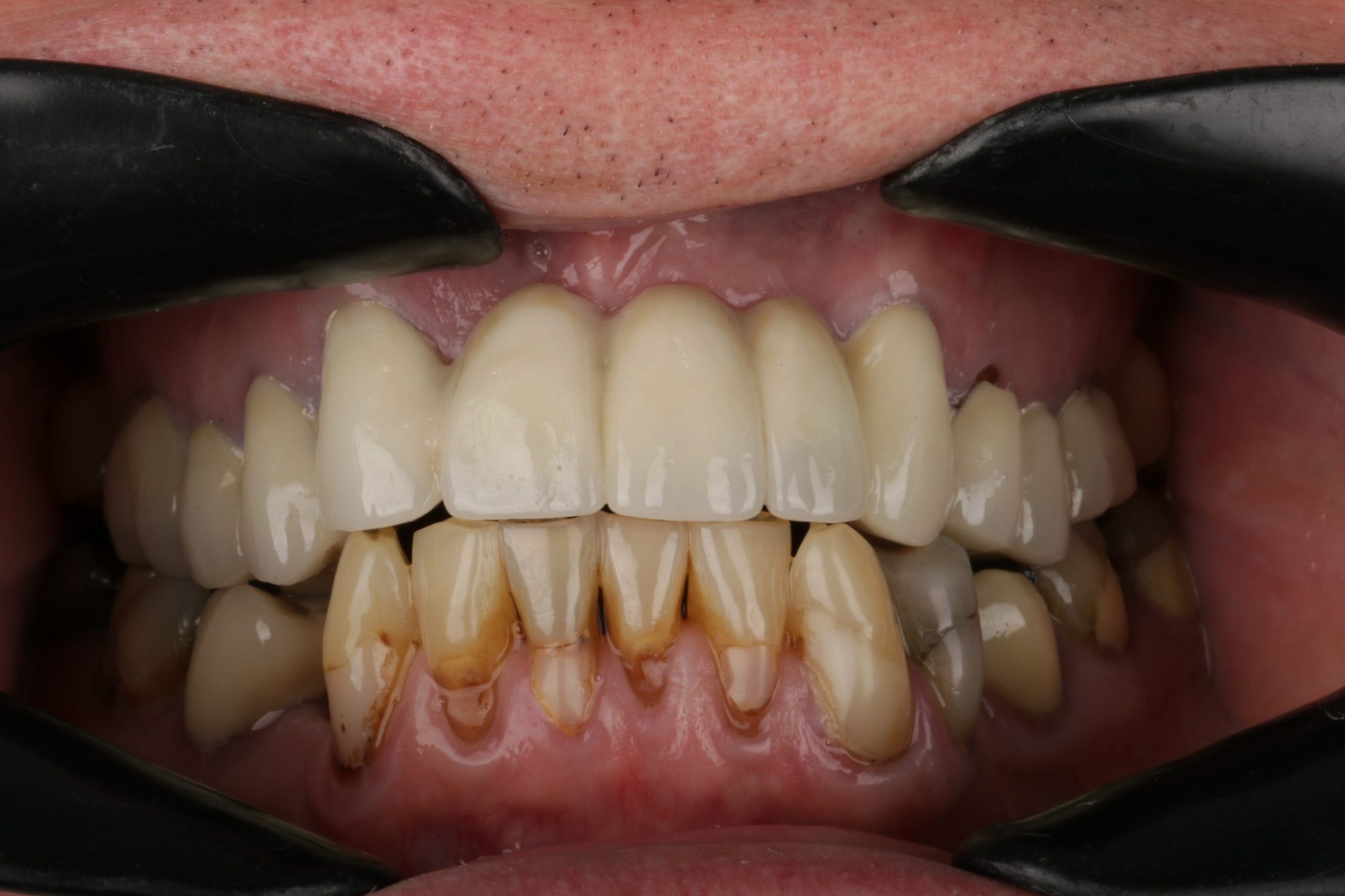
A 75-year-old gentleman was referred to Renovo Dental for an endodontic consultation.  He had undergone several root canal treatments (RCTs) with mixed outcomes. His 12-unit upper metal ceramic crown (MCC) bridge was loose and had been temporarily cemented. Its long-term prognosis was poor (Figure 1).

Clinical and radiographic assessments

Our diagnosis was generalised endodontic failure in the upper arch, with compromised RCTs, a chronic apical abscess in the UL3 with buccal sinus tract, a suspected radicular cyst in the UL6 and local infection in UL5 and UL6.

Treatment options:

  • Repeating root canal treatment and providing new full-mouth crown/bridgework on the affected teeth
  • Extraction of the remaining upper teeth and replacement with a denture
  • Extraction followed by immediate implant placement, with sinus lift, bone grafting and immediate loading of a temporary bridge, transitioning to a definitive prosthesis after the healing period.  

Immediate implant placement

The patient opted for the third plan, which met his expectations and was the optimum approach to mitigate further bone loss.

The UR3 to UR6 and UL3 to UL6 would be extracted, followed by immediate placement of five Bredent Medical Bluesky bone level implants in UR4, UR2, UL2, UL4 and UL6. The case would be assisted…

Sign in to continue reading

This content is exclusive to members of

Sign up

Already a member? Sign in here

Free access to our premium content:

  • Clinical content
  • In-depth analysis
  • Features, reports, videos and more

By joining, you’re helping to support independent, quality journalism that keeps dental professionals informed and empowered – and allowing us to keep delivering the insights you value most.

Favorite
Get the most out of your membership by subscribing to Dentistry CPD
  • Access 600+ hours of verified CPD courses
  • Includes all GDC recommended topics
  • Powerful CPD tracking tools included
Register for webinar

Stay updated with relevant information about this webinar

Share
Add to calendar